
- 3
- 3
- ,
- 2
- 3
- 9
To Quiz Yourself: Select OFF by clicking the button to hide the diagnosis & additional resources under the case.
Quick Browser: Select ON by clicking the button to hide the additional resources for faster case review.
CASE NUMBER
5,947
Diagnosis
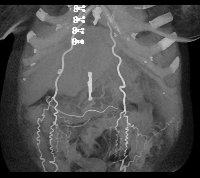
Collateral Vessels in the Abdominal Wall due to Liver Disease
THIS IS CASE
5,947
OF
6,080
