
- 3
- 3
- ,
- 2
- 3
- 7
To Quiz Yourself: Select OFF by clicking the button to hide the diagnosis & additional resources under the case.
Quick Browser: Select ON by clicking the button to hide the additional resources for faster case review.
CASE NUMBER
5,351
Diagnosis
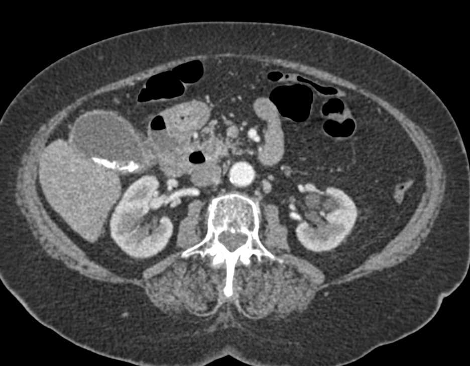
Partially Calcified Common Bile Duct (CBD) Stone in Distal Duct
THIS IS CASE
5,351
OF
6,079
