
- 3
- 3
- ,
- 2
- 3
- 7
To Quiz Yourself: Select OFF by clicking the button to hide the diagnosis & additional resources under the case.
Quick Browser: Select ON by clicking the button to hide the additional resources for faster case review.
CASE NUMBER
4,977
Diagnosis
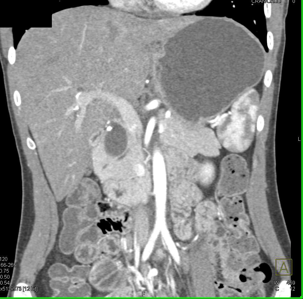
Cholangiocarcinoma with Left Ductal Dilatation and Atrophy of Left Lobe
THIS IS CASE
4,977
OF
6,079
