
- 3
- 3
- ,
- 2
- 3
- 9
To Quiz Yourself: Select OFF by clicking the button to hide the diagnosis & additional resources under the case.
Quick Browser: Select ON by clicking the button to hide the additional resources for faster case review.
CASE NUMBER
4,947
Diagnosis
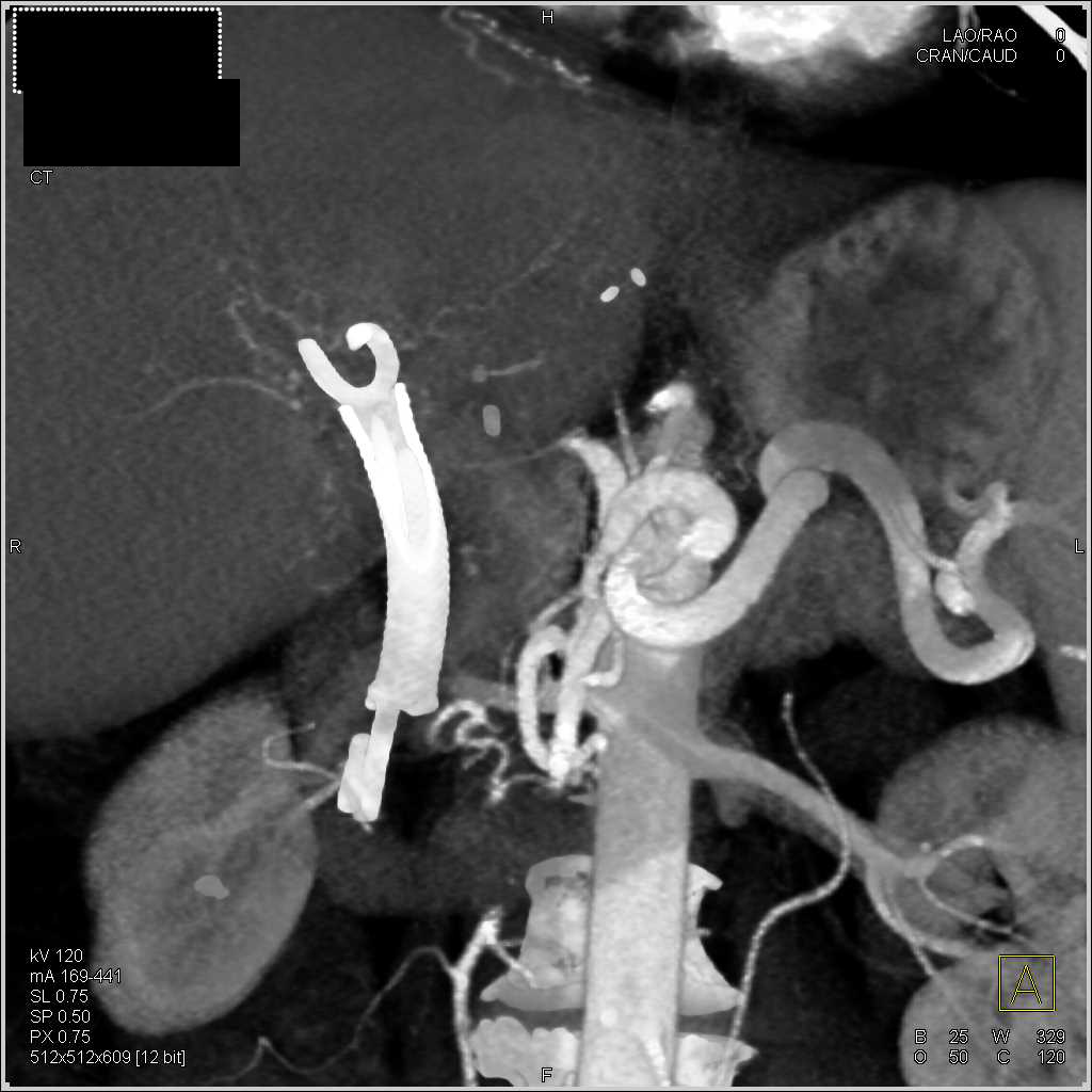
Unusual Case with Active Bleeding into the Gallbladder
THIS IS CASE
4,947
OF
6,080
