
- 3
- 3
- ,
- 2
- 3
- 9
To Quiz Yourself: Select OFF by clicking the button to hide the diagnosis & additional resources under the case.
Quick Browser: Select ON by clicking the button to hide the additional resources for faster case review.
CASE NUMBER
4,829
Diagnosis
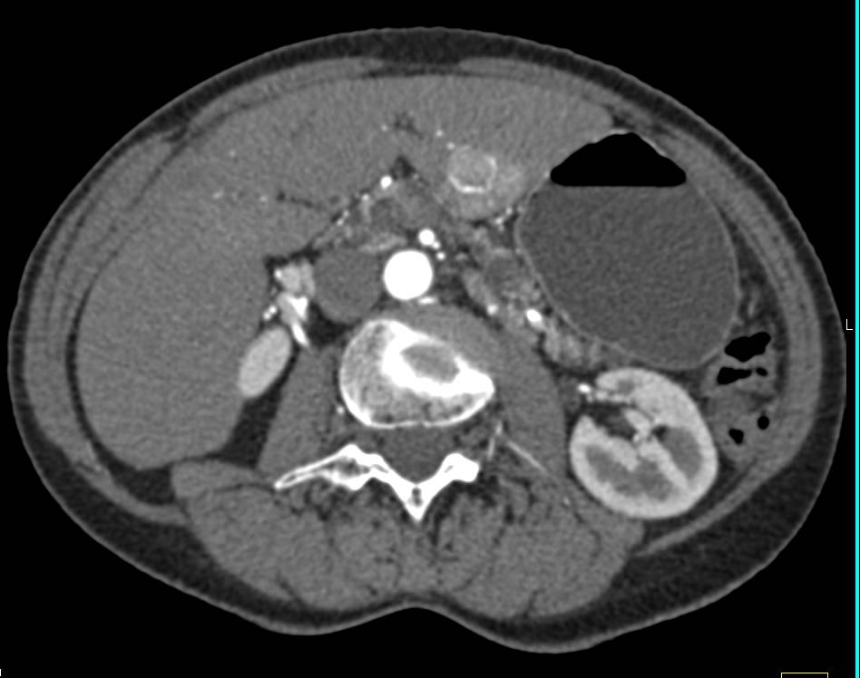
Locally Recurrent Renal Cell Carcinoma with Bone and Muscle Metastases
Note
Locally Recurrent Renal Cell Carcinoma with Bone and Muscle Metastases
THIS IS CASE
4,829
OF
6,080
