
- 3
- 3
- ,
- 2
- 3
- 7
To Quiz Yourself: Select OFF by clicking the button to hide the diagnosis & additional resources under the case.
Quick Browser: Select ON by clicking the button to hide the additional resources for faster case review.
CASE NUMBER
3,865
Diagnosis
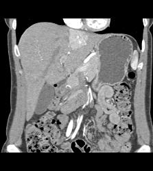
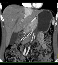
Focal Nodular Hyperplasia (FNH)
THIS IS CASE
3,865
OF
6,079
