
- 3
- 3
- ,
- 2
- 3
- 9
To Quiz Yourself: Select OFF by clicking the button to hide the diagnosis & additional resources under the case.
Quick Browser: Select ON by clicking the button to hide the additional resources for faster case review.
CASE NUMBER
3,438
Diagnosis
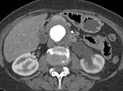
Retroperitoneal Fibrosis With Obstructed Common Bile Duct (CBD) and Left Renal Pelvis- See Full Sequence
THIS IS CASE
3,438
OF
6,080
