
- 3
- 3
- ,
- 2
- 3
- 9
To Quiz Yourself: Select OFF by clicking the button to hide the diagnosis & additional resources under the case.
Quick Browser: Select ON by clicking the button to hide the additional resources for faster case review.
CASE NUMBER
3,425
Diagnosis
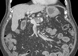
Partial Thrombosis of the Splenic Vein
THIS IS CASE
3,425
OF
6,080
