
- 3
- 3
- ,
- 2
- 3
- 7
To Quiz Yourself: Select OFF by clicking the button to hide the diagnosis & additional resources under the case.
Quick Browser: Select ON by clicking the button to hide the additional resources for faster case review.
CASE NUMBER
3,336
Diagnosis
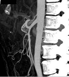
Common Trunk to Superior Mesenteric Artery (SMA) and Celiac Artery
THIS IS CASE
3,336
OF
6,079
