
- 3
- 3
- ,
- 2
- 3
- 7
To Quiz Yourself: Select OFF by clicking the button to hide the diagnosis & additional resources under the case.
Quick Browser: Select ON by clicking the button to hide the additional resources for faster case review.
CASE NUMBER
3,249
Diagnosis
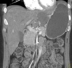
Partial Portal Vein Thrombosis With Esophageal and Gastric Varices
THIS IS CASE
3,249
OF
6,079
