
- 3
 - 3
 - ,
 - 2
 - 3
 - 9
 
To Quiz Yourself: Select OFF by clicking the button to hide the diagnosis & additional resources under the case.
Quick Browser: Select ON by clicking the button to hide the additional resources for faster case review.
CASE NUMBER
  2,657
  
  
	
    Diagnosis
  
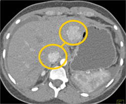
Focal Nodular Hyperplasia (FNH)
	 THIS IS CASE
     2,657
       
	    OF
		6,080
   
       
     
   