
- 3
- 3
- ,
- 2
- 3
- 9
To Quiz Yourself: Select OFF by clicking the button to hide the diagnosis & additional resources under the case.
Quick Browser: Select ON by clicking the button to hide the additional resources for faster case review.
CASE NUMBER
2,610
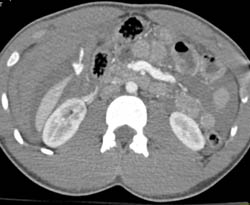
Diagnosis
Portal Vein Infiltrated in Hilum
THIS IS CASE
2,610
OF
6,080