
- 3
- 3
- ,
- 2
- 3
- 9
To Quiz Yourself: Select OFF by clicking the button to hide the diagnosis & additional resources under the case.
Quick Browser: Select ON by clicking the button to hide the additional resources for faster case review.
CASE NUMBER
2,603
Diagnosis
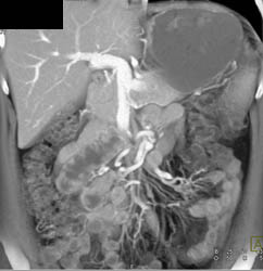
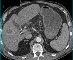
Portal Hypertension With Increased Flow Into Mesenteric Vessels
THIS IS CASE
2,603
OF
6,080