
- 3
- 3
- ,
- 2
- 3
- 9
To Quiz Yourself: Select OFF by clicking the button to hide the diagnosis & additional resources under the case.
Quick Browser: Select ON by clicking the button to hide the additional resources for faster case review.
CASE NUMBER
2,595
Diagnosis
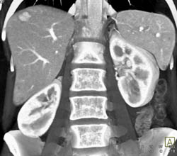
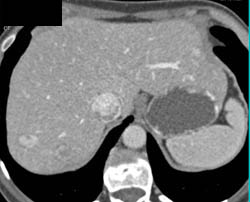
Cavernous Trnasformation of the Portal Vein With Portal Vein (PV) Occlusion
THIS IS CASE
2,595
OF
6,080