
- 3
- 3
- ,
- 2
- 3
- 9
To Quiz Yourself: Select OFF by clicking the button to hide the diagnosis & additional resources under the case.
Quick Browser: Select ON by clicking the button to hide the additional resources for faster case review.
CASE NUMBER
2,583
Diagnosis
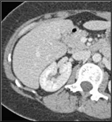
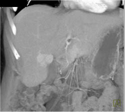
Hepatoma Invades the Inferior Vena Cava (IVC)
THIS IS CASE
2,583
OF
6,080