
- 3
- 3
- ,
- 2
- 3
- 9
To Quiz Yourself: Select OFF by clicking the button to hide the diagnosis & additional resources under the case.
Quick Browser: Select ON by clicking the button to hide the additional resources for faster case review.
CASE NUMBER
2,571
Diagnosis
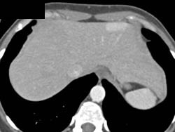
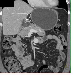
Renal Cell Carcinoma With Liver Metastases
THIS IS CASE
2,571
OF
6,080
