
- 3
- 3
- ,
- 2
- 3
- 9
To Quiz Yourself: Select OFF by clicking the button to hide the diagnosis & additional resources under the case.
Quick Browser: Select ON by clicking the button to hide the additional resources for faster case review.
CASE NUMBER
2,565
Diagnosis
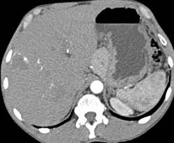
Portal Hypertension With Splenomegaly and Varices and Collaterals
THIS IS CASE
2,565
OF
6,080
