
- 3
- 3
- ,
- 2
- 3
- 9
To Quiz Yourself: Select OFF by clicking the button to hide the diagnosis & additional resources under the case.
Quick Browser: Select ON by clicking the button to hide the additional resources for faster case review.
CASE NUMBER
2,557
Diagnosis
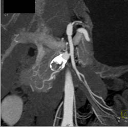
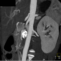
Partial Portal Vein Thrombosis (PVT) and Splenic and Superior Mesenteric Vein (SMV) Thrombosis
THIS IS CASE
2,557
OF
6,080
