
- 3
- 3
- ,
- 2
- 3
- 7
To Quiz Yourself: Select OFF by clicking the button to hide the diagnosis & additional resources under the case.
Quick Browser: Select ON by clicking the button to hide the additional resources for faster case review.
CASE NUMBER
2,003
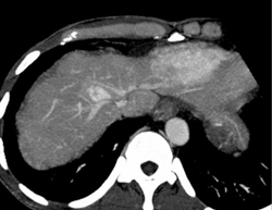
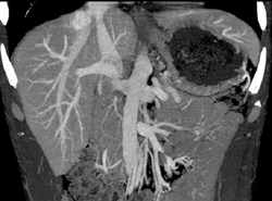
Diagnosis
Islet Cell Involves the Portal Vein With Collaterals
THIS IS CASE
2,003
OF
6,079
