
- 3
- 3
- ,
- 2
- 3
- 9
To Quiz Yourself: Select OFF by clicking the button to hide the diagnosis & additional resources under the case.
Quick Browser: Select ON by clicking the button to hide the additional resources for faster case review.
CASE NUMBER
1,022
Diagnosis
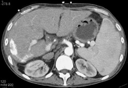
Candidiasis in Liver and Spleen (dual Phase)
THIS IS CASE
1,022
OF
6,080
