
- 5
- 2
- ,
- 3
- 1
- 4
To Quiz Yourself: Select OFF by clicking the button to hide the diagnosis & additional resources under the case.
Quick Browser: Select ON by clicking the button to hide the additional resources for faster case review.
CASE NUMBER
8,156
Diagnosis
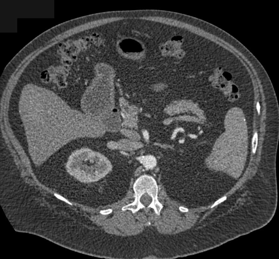
Clear Cell Renal Cell Carcinoma (ccRCC) Invades Left Renal Vein and Inferior Vena Cava (IVC)
THIS IS CASE
8,156
OF
8,290
