
- 5
- 2
- ,
- 3
- 1
- 4
To Quiz Yourself: Select OFF by clicking the button to hide the diagnosis & additional resources under the case.
Quick Browser: Select ON by clicking the button to hide the additional resources for faster case review.
CASE NUMBER
8,149
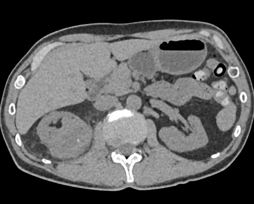
Diagnosis
Renal Cell Carcinoma Upper Pole Right Kidney
THIS IS CASE
8,149
OF
8,290
