
- 5
 - 2
 - ,
 - 3
 - 1
 - 4
 
To Quiz Yourself: Select OFF by clicking the button to hide the diagnosis & additional resources under the case.
Quick Browser: Select ON by clicking the button to hide the additional resources for faster case review.
CASE NUMBER
  8,099
  
  
	
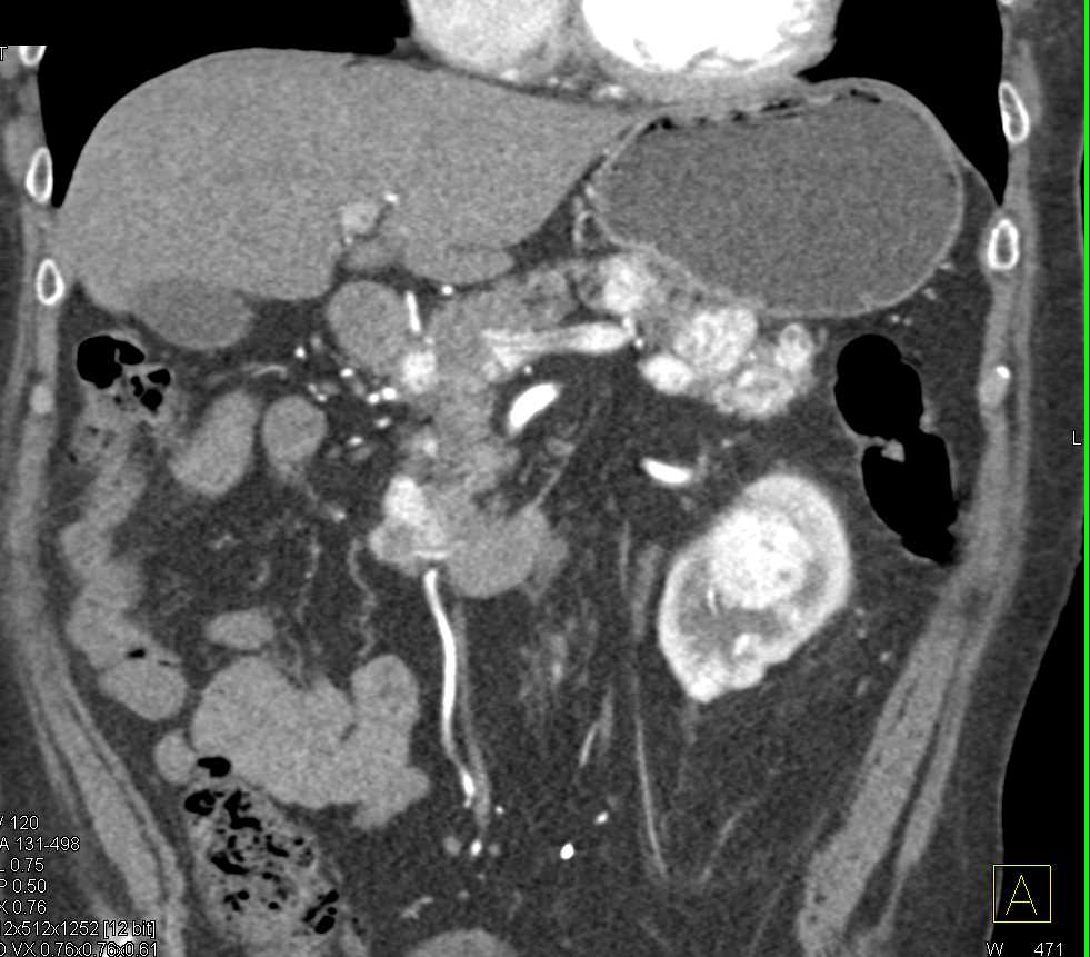
    Diagnosis
  
Left Renal Artery Aneurysm
	 THIS IS CASE
     8,099
       
	    OF
		8,290
   
       
     
   