
- 5
- 1
- ,
- 5
- 9
- 3
To Quiz Yourself: Select OFF by clicking the button to hide the diagnosis & additional resources under the case.
Quick Browser: Select ON by clicking the button to hide the additional resources for faster case review.
CASE NUMBER
7,515
Diagnosis
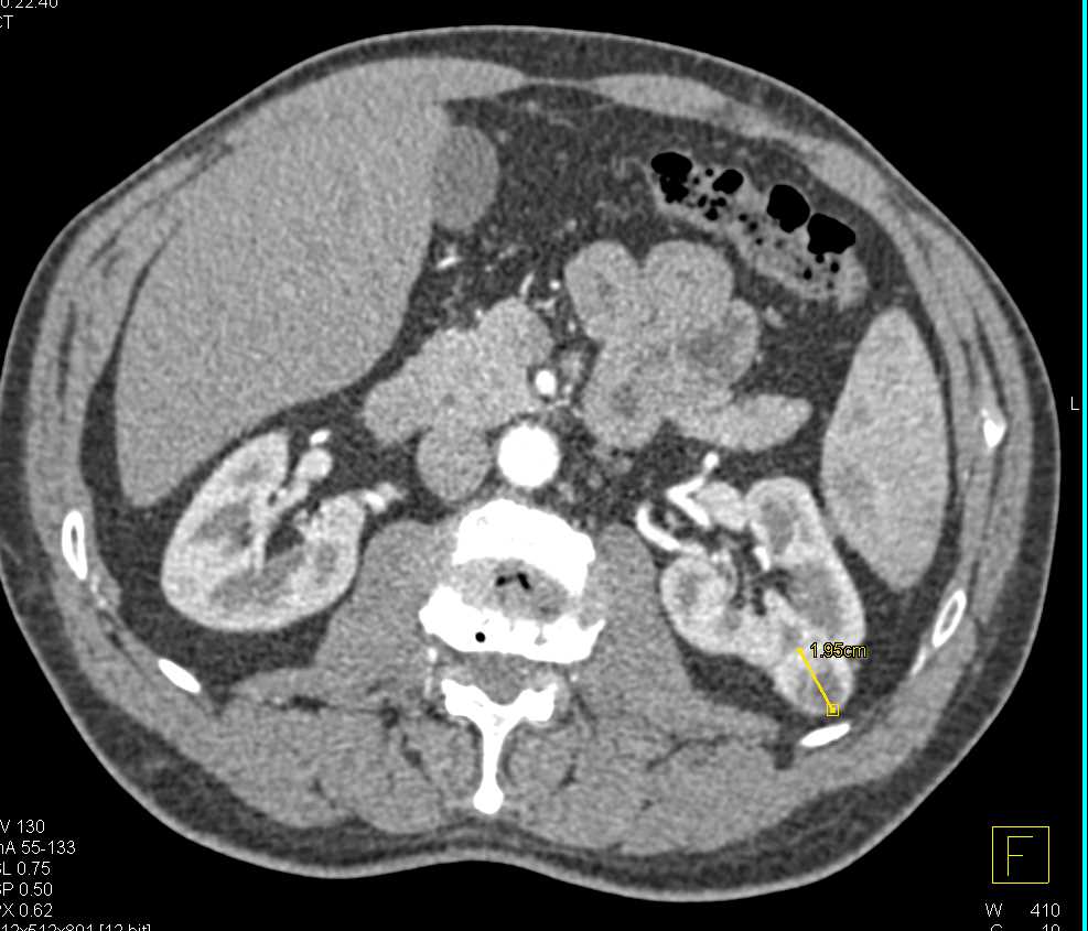
Metastatic Renal Cell Carcinoma to the Pancreas and Bone
THIS IS CASE
7,515
OF
7,917
