
- 5
- 2
- ,
- 3
- 1
- 4
To Quiz Yourself: Select OFF by clicking the button to hide the diagnosis & additional resources under the case.
Quick Browser: Select ON by clicking the button to hide the additional resources for faster case review.
CASE NUMBER
7,878
Diagnosis
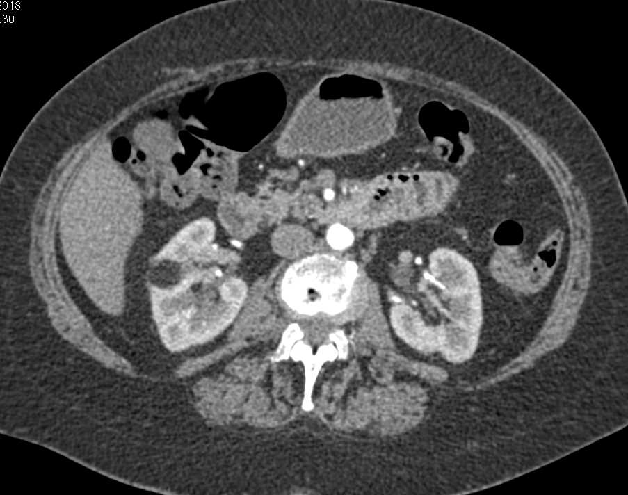
Incidental Clear Cell Renal Cell Carcinoma (RCC) Lower Pole Right Kidney
THIS IS CASE
7,878
OF
8,290