
- 5
- 2
- ,
- 3
- 1
- 4
To Quiz Yourself: Select OFF by clicking the button to hide the diagnosis & additional resources under the case.
Quick Browser: Select ON by clicking the button to hide the additional resources for faster case review.
CASE NUMBER
7,757
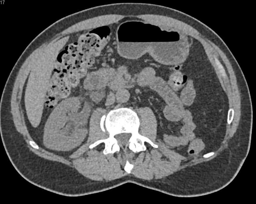
Diagnosis
Acute Pyelonephritis Right Kidney
THIS IS CASE
7,757
OF
8,290
