
- 5
- 2
- ,
- 3
- 1
- 4
To Quiz Yourself: Select OFF by clicking the button to hide the diagnosis & additional resources under the case.
Quick Browser: Select ON by clicking the button to hide the additional resources for faster case review.
CASE NUMBER
7,597
Diagnosis
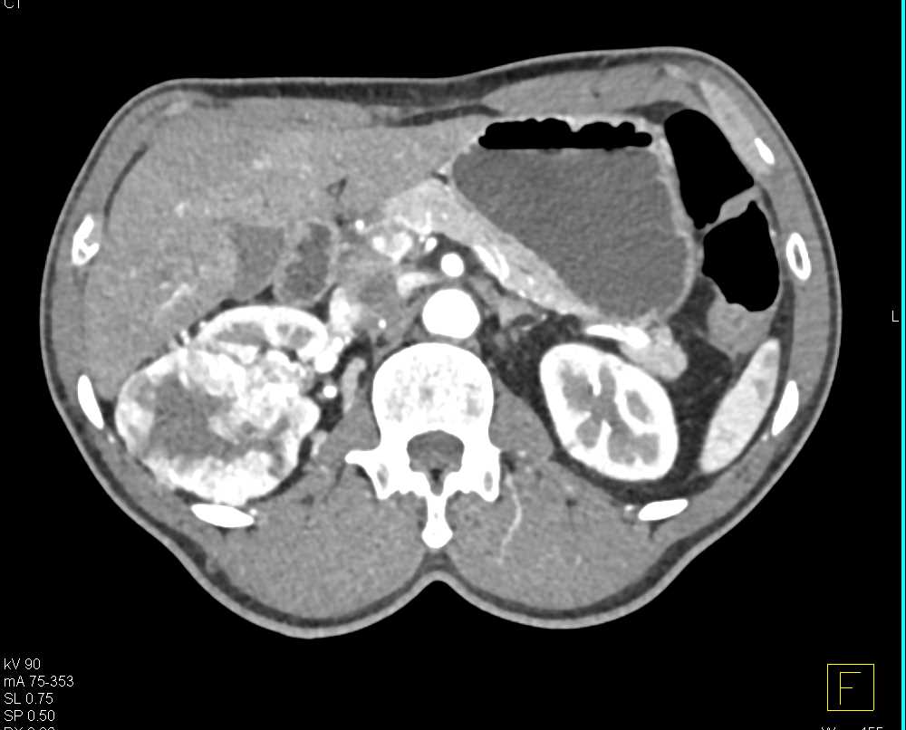
Clear Cell Renal Cell Carcinoma (CCRCC) Right Kidney
THIS IS CASE
7,597
OF
8,290