
- 5
- 2
- ,
- 3
- 1
- 4
To Quiz Yourself: Select OFF by clicking the button to hide the diagnosis & additional resources under the case.
Quick Browser: Select ON by clicking the button to hide the additional resources for faster case review.
CASE NUMBER
7,303
Diagnosis
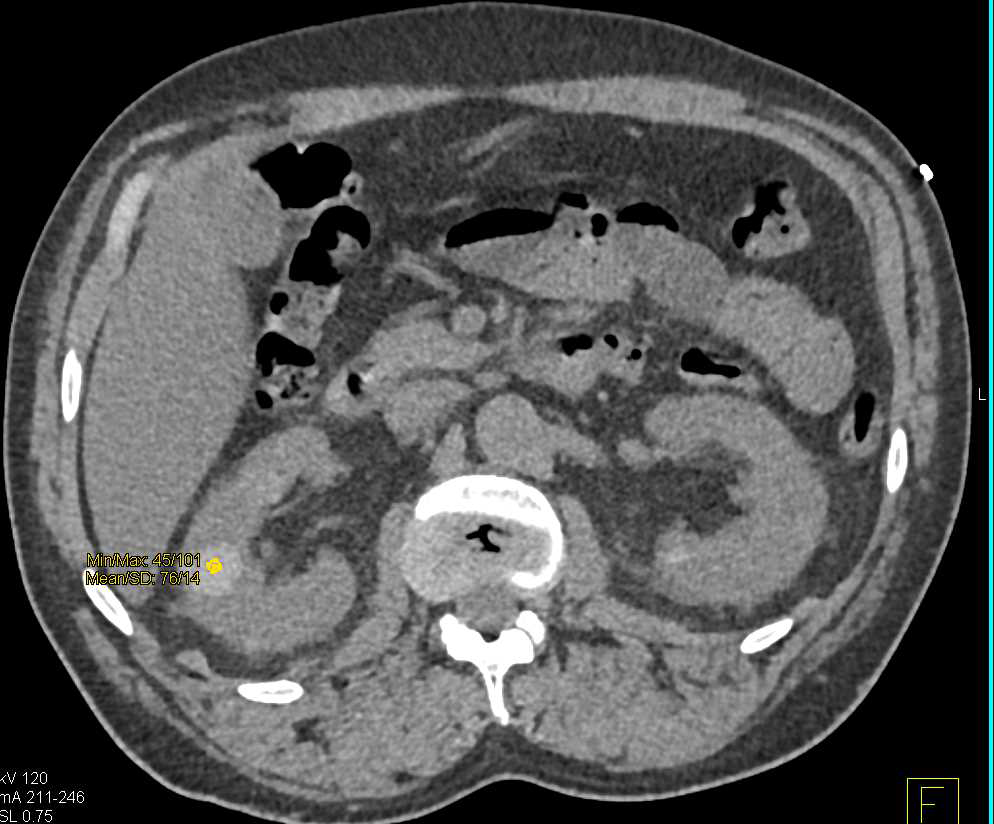
Pseudoaneurysm Left Kidney Due to Partial Nephrectomy
THIS IS CASE
7,303
OF
8,290
