
- 5
- 1
- ,
- 5
- 9
- 3
To Quiz Yourself: Select OFF by clicking the button to hide the diagnosis & additional resources under the case.
Quick Browser: Select ON by clicking the button to hide the additional resources for faster case review.
CASE NUMBER
6,520
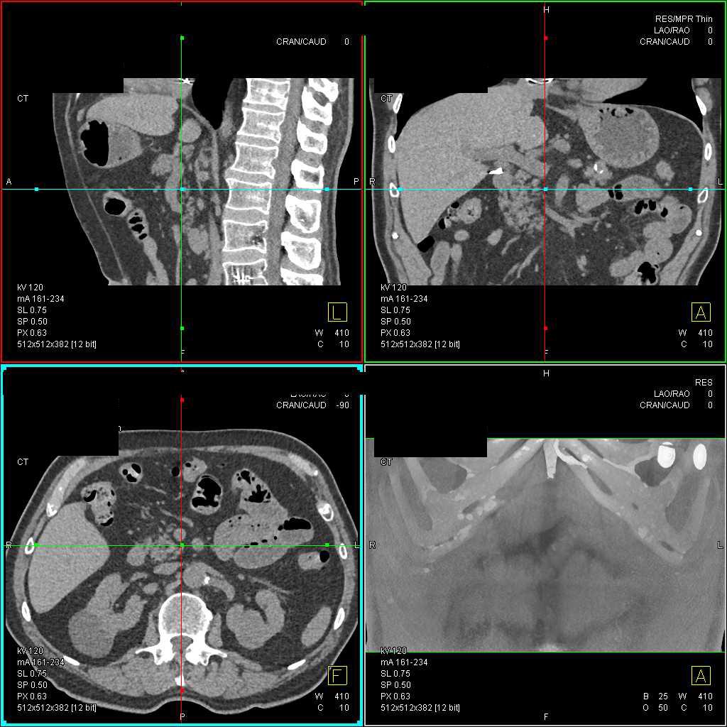
Diagnosis
Transitional Cell Cancer (TCC) Right Renal Pelvis, Ureter and Bladder
THIS IS CASE
6,520
OF
7,917
