
- 5
- 2
- ,
- 3
- 1
- 4
To Quiz Yourself: Select OFF by clicking the button to hide the diagnosis & additional resources under the case.
Quick Browser: Select ON by clicking the button to hide the additional resources for faster case review.
CASE NUMBER
6,890
Diagnosis
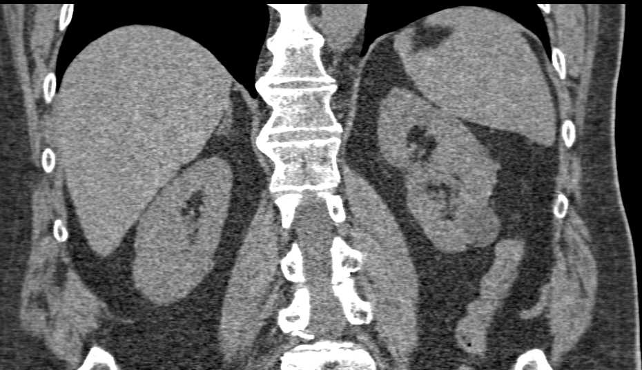
Necrotic Bladder Cancer in Pelvis with Filling Defects Left Renal Pelvis
THIS IS CASE
6,890
OF
8,290