
- 5
- 2
- ,
- 3
- 1
- 4
To Quiz Yourself: Select OFF by clicking the button to hide the diagnosis & additional resources under the case.
Quick Browser: Select ON by clicking the button to hide the additional resources for faster case review.
CASE NUMBER
6,587
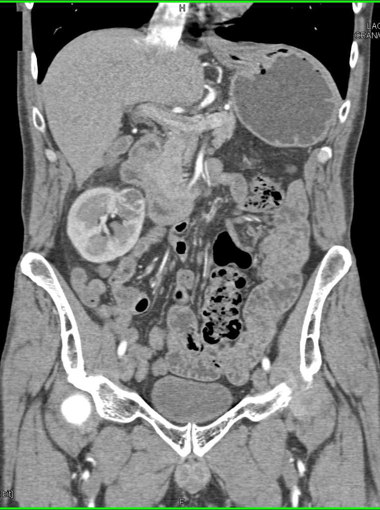
Diagnosis
2 cm Right Renal Cell Carcinoma
THIS IS CASE
6,587
OF
8,290