
- 5
- 1
- ,
- 5
- 9
- 3
To Quiz Yourself: Select OFF by clicking the button to hide the diagnosis & additional resources under the case.
Quick Browser: Select ON by clicking the button to hide the additional resources for faster case review.
CASE NUMBER
6,206
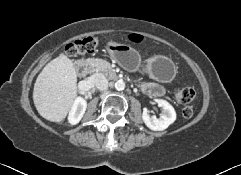
Diagnosis
Left Renal Laceration with Hematoma and Contrast Extravasation
THIS IS CASE
6,206
OF
7,917
