
- 5
- 2
- ,
- 3
- 1
- 4
To Quiz Yourself: Select OFF by clicking the button to hide the diagnosis & additional resources under the case.
Quick Browser: Select ON by clicking the button to hide the additional resources for faster case review.
CASE NUMBER
6,462
Diagnosis
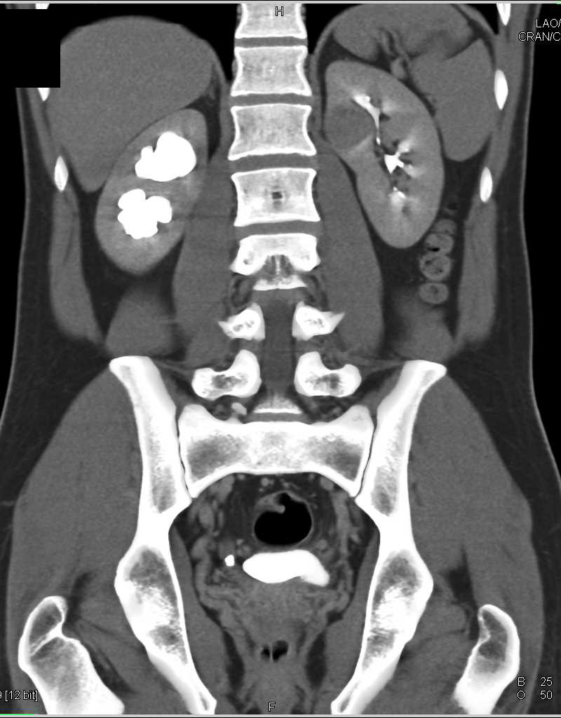
Papillary Renal Cell Carcinoma Left Kidney and Stone Distal Right Ureter with Obstruction
THIS IS CASE
6,462
OF
8,290
