
- 5
- 1
- ,
- 5
- 5
- 8
To Quiz Yourself: Select OFF by clicking the button to hide the diagnosis & additional resources under the case.
Quick Browser: Select ON by clicking the button to hide the additional resources for faster case review.
CASE NUMBER
5,870
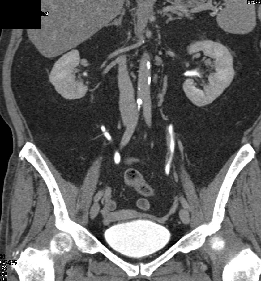
Diagnosis
Transitional Cell Carcinoma of the Left Ureter
THIS IS CASE
5,870
OF
7,914
