
- 5
- 1
- ,
- 5
- 9
- 3
To Quiz Yourself: Select OFF by clicking the button to hide the diagnosis & additional resources under the case.
Quick Browser: Select ON by clicking the button to hide the additional resources for faster case review.
CASE NUMBER
5,155
Diagnosis
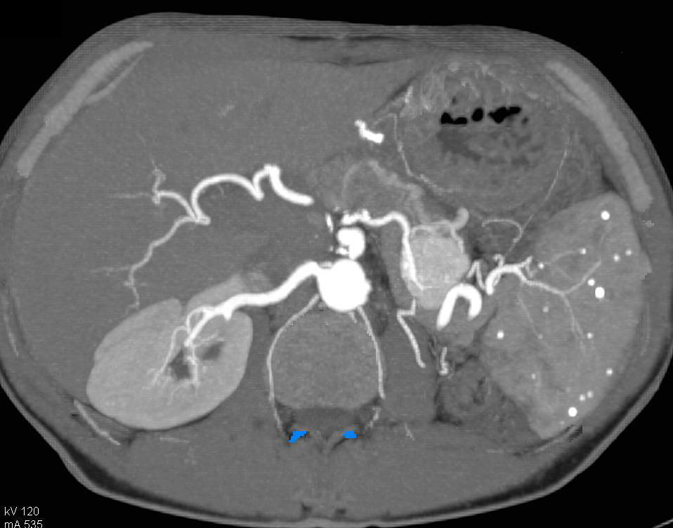
Recurrent Renal Cell Carcinoma Metastatic to the Pancreas
THIS IS CASE
5,155
OF
7,917
