
- 5
- 2
- ,
- 3
- 1
- 4
To Quiz Yourself: Select OFF by clicking the button to hide the diagnosis & additional resources under the case.
Quick Browser: Select ON by clicking the button to hide the additional resources for faster case review.
CASE NUMBER
5,397
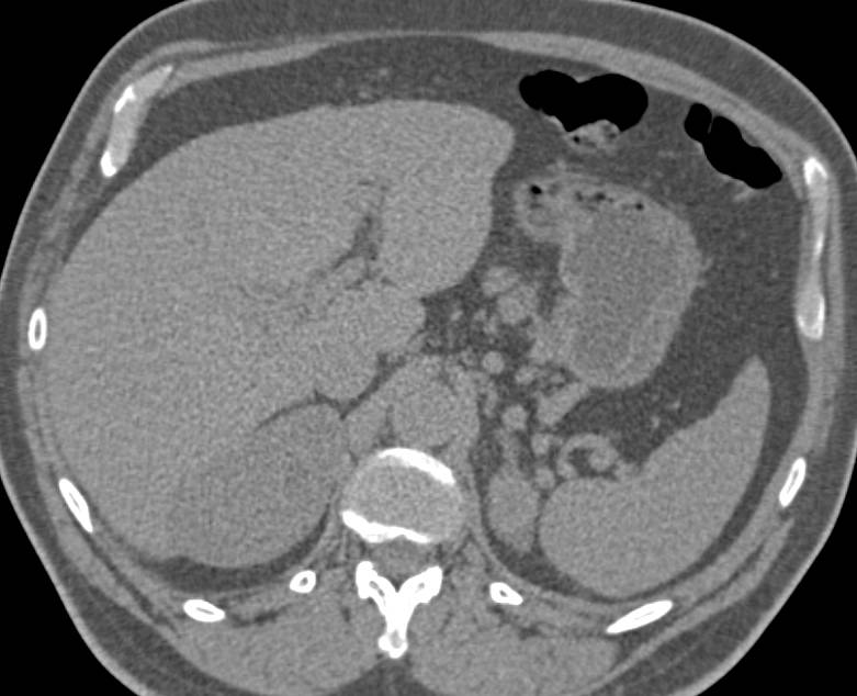
Diagnosis
Polycystic Liver and Polycystic Renal Disease
THIS IS CASE
5,397
OF
8,290
