
- 5
- 1
- ,
- 5
- 9
- 3
To Quiz Yourself: Select OFF by clicking the button to hide the diagnosis & additional resources under the case.
Quick Browser: Select ON by clicking the button to hide the additional resources for faster case review.
CASE NUMBER
4,974
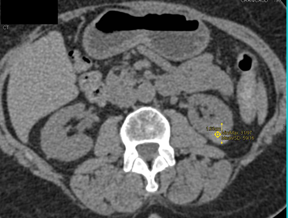
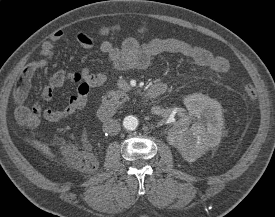
Diagnosis
High Density Renal Cyst with Multiple Phases and Displays
THIS IS CASE
4,974
OF
7,917
