
- 5
- 2
- ,
- 3
- 0
- 1
To Quiz Yourself: Select OFF by clicking the button to hide the diagnosis & additional resources under the case.
Quick Browser: Select ON by clicking the button to hide the additional resources for faster case review.
CASE NUMBER
5,204
Diagnosis
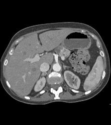
Lower Pole Right Renal Cell Carcinoma With Cystic Pancreatic Lesion in Von Hippel-Lindau syndrome (VHL) - See Sequence
THIS IS CASE
5,204
OF
8,289