
- 5
- 1
- ,
- 5
- 9
- 3
To Quiz Yourself: Select OFF by clicking the button to hide the diagnosis & additional resources under the case.
Quick Browser: Select ON by clicking the button to hide the additional resources for faster case review.
CASE NUMBER
4,582
Diagnosis
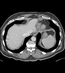
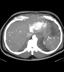
Renal Cell Carcinoma Metastatic to the Heart -right Atrium and Ventricle
THIS IS CASE
4,582
OF
7,917
