
- 5
- 2
- ,
- 3
- 0
- 1
To Quiz Yourself: Select OFF by clicking the button to hide the diagnosis & additional resources under the case.
Quick Browser: Select ON by clicking the button to hide the additional resources for faster case review.
CASE NUMBER
4,897
Diagnosis
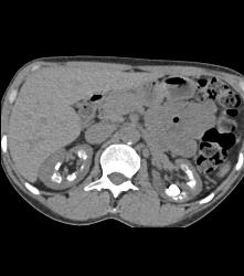
Medullary Sponge Kidney
THIS IS CASE
4,897
OF
8,289