
- 5
- 1
- ,
- 5
- 9
- 3
To Quiz Yourself: Select OFF by clicking the button to hide the diagnosis & additional resources under the case.
Quick Browser: Select ON by clicking the button to hide the additional resources for faster case review.
CASE NUMBER
4,469
Diagnosis
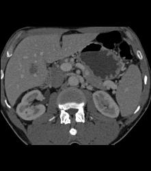
Infarcted Left Kidney Due to Stenosis of Upper Pole Renal Artery
THIS IS CASE
4,469
OF
7,917
