
- 5
- 1
- ,
- 5
- 9
- 3
To Quiz Yourself: Select OFF by clicking the button to hide the diagnosis & additional resources under the case.
Quick Browser: Select ON by clicking the button to hide the additional resources for faster case review.
CASE NUMBER
4,222
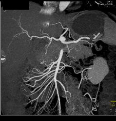
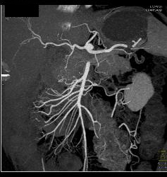
Diagnosis
Fibromuscular Dysplasia (FMD) of Right Renal Artery the Mesenteric Vessels Were Normal
THIS IS CASE
4,222
OF
7,917
