
- 5
- 2
- ,
- 3
- 1
- 4
To Quiz Yourself: Select OFF by clicking the button to hide the diagnosis & additional resources under the case.
Quick Browser: Select ON by clicking the button to hide the additional resources for faster case review.
CASE NUMBER
4,391
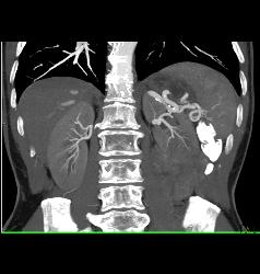
Diagnosis
Renal Cell Carcinoma With Collaterals
THIS IS CASE
4,391
OF
8,290
