
- 5
- 2
- ,
- 3
- 1
- 4
To Quiz Yourself: Select OFF by clicking the button to hide the diagnosis & additional resources under the case.
Quick Browser: Select ON by clicking the button to hide the additional resources for faster case review.
CASE NUMBER
4,386
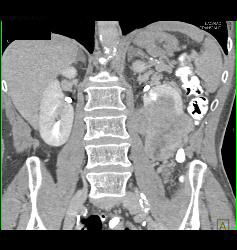
Diagnosis
Renal Cell Carcinoma With Tumor Necrosis
THIS IS CASE
4,386
OF
8,290
