
- 5
- 2
- ,
- 3
- 1
- 4
To Quiz Yourself: Select OFF by clicking the button to hide the diagnosis & additional resources under the case.
Quick Browser: Select ON by clicking the button to hide the additional resources for faster case review.
CASE NUMBER
4,381
Diagnosis
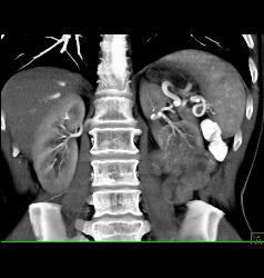
Renal Cell Carcinoma With Paraaortic Adenopathy
THIS IS CASE
4,381
OF
8,290
