
- 5
- 1
- ,
- 5
- 9
- 3
To Quiz Yourself: Select OFF by clicking the button to hide the diagnosis & additional resources under the case.
Quick Browser: Select ON by clicking the button to hide the additional resources for faster case review.
CASE NUMBER
3,784
Diagnosis
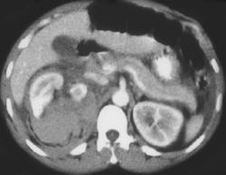
Lymphoma With Perirenal Spread of Tumor in Left Perirenal and Pararenal Space
THIS IS CASE
3,784
OF
7,917
