
- 5
- 1
- ,
- 5
- 9
- 3
To Quiz Yourself: Select OFF by clicking the button to hide the diagnosis & additional resources under the case.
Quick Browser: Select ON by clicking the button to hide the additional resources for faster case review.
CASE NUMBER
3,582
Diagnosis
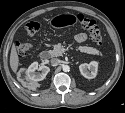
Dilated Calyces in Left Kidney With Ureteropelvic Junction (UPJ) Due to Crossing Vessel
THIS IS CASE
3,582
OF
7,917
