
- 5
- 1
- ,
- 5
- 9
- 3
To Quiz Yourself: Select OFF by clicking the button to hide the diagnosis & additional resources under the case.
Quick Browser: Select ON by clicking the button to hide the additional resources for faster case review.
CASE NUMBER
3,577
Diagnosis
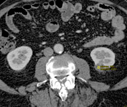
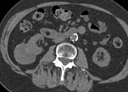
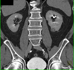
Complex Right Renal Cyst With Calcification
THIS IS CASE
3,577
OF
7,917
