
- 5
- 1
- ,
- 5
- 9
- 3
To Quiz Yourself: Select OFF by clicking the button to hide the diagnosis & additional resources under the case.
Quick Browser: Select ON by clicking the button to hide the additional resources for faster case review.
CASE NUMBER
3,571
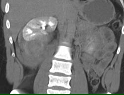
Diagnosis
Renal Cell Carcinoma
THIS IS CASE
3,571
OF
7,917
