
- 5
- 1
- ,
- 5
- 9
- 3
To Quiz Yourself: Select OFF by clicking the button to hide the diagnosis & additional resources under the case.
Quick Browser: Select ON by clicking the button to hide the additional resources for faster case review.
CASE NUMBER
3,564
Diagnosis
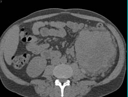
Transitional Cell Cancer (TCC) of Right Kidney Involves the Renal Vein and IVC
THIS IS CASE
3,564
OF
7,917
